
9月22日 9:00-11:00
點擊進入手術直播間
第三屆中歐國際骨科高峰會(全球手術直播)第二場手術直播將于9月22日在鄭州市骨科醫院宜居健康城院區舉行。
9月22日上午9:00-11:00,亞琛工業大學附屬醫院大骨科主任、歐洲創傷急救外科學會主席Hildebrand教授聯合鄭州市骨科醫院首席專家王愛國教授,以及鄭州市骨科醫院下肢骨科主任李興華教授進行手術直播示教,交流探討創傷骨科手術治療理念和技術。誠邀廣大骨科同仁線上觀看直播。
9月18-22日,亞琛工業大學附屬醫院大骨科主任、歐洲創傷急救外科學會主席Hildebrand教授到訪鄭州市骨科醫院擔任國際客座教授,并在醫院開展了一系列學術交流活動,包括門診、查房、手術指導、手術實操、科室內部培訓、科室管理討論、重點疑難病例討論、大師公開課等。
手術病例介紹
患者:女性,60 歲
以“摔傷左膝關節疼痛、活動受限 2 小時”為主訴于 2023 年 9 月14 日入院。2 小時前工作時不慎滑倒,摔傷左膝關節,被家人送至鄭州市骨科醫院診治。
入科后完善相關檢查,予以消腫、止痛、預防血栓藥物應用。
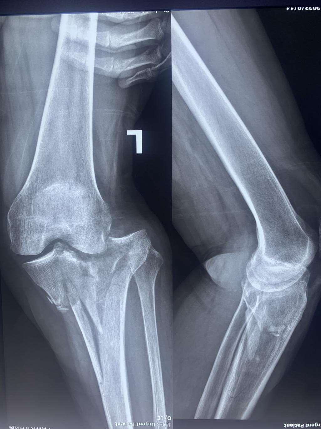
手術:Schatzker IV型脛骨平臺骨折的手術治療
入院 X 線:

鄭州市骨科醫院簡介

鄭州市骨科醫院始建于1952年,是一所集醫療、急救、教學、科研、預防保健、康復為一體的三級甲等中西醫結合骨??漆t院。秉承“厚德精誠、力行博愛”精神,在“???、制度、安全、理性”的發展思路指導下,醫院逐步壯大成“一院三區”之規模,分別是鄭州市骨科醫院西院區(隴海中路58號)、鄭州市骨科醫院東院區(隴海中路57號)、鄭州市骨科醫院宜居健康城院區。其中,前兩者統稱為“隴海路總院區”。
醫院現有職工1401人,衛生專業技術人員1182人,享受國務院津貼1人,正高職稱58人,副高職稱150人,博士、碩士335人。醫院共設33個臨床科室,其中,河南省區域中醫??圃\療中心2個,河南省中醫重點專科3個、河南省醫學重點(培育)學科4個、鄭州市中醫重點(特色)???個、鄭州市醫學重點學科2個、鄭州市醫學重點培育學科5個及省市重點實驗室7個。關節置換翻修技術、修復重建技術、復雜骨折治療技術、畸形矯正技術、骨科并發癥的防治技術等在專業領域內領先,??萍夹g實力雄厚,規模穩居國內骨科醫院前列。

鄭州市骨科醫院宜居健康城院區于2023年3月正式投入使用。該院區位于鄭州市京城路與悅來西路交叉口向北100米路西。項目建設占地213畝,編制床位1500張。其中一期按500張床位規模建設,主要建設病房樓和門診、急診及部分醫技樓。
擁有大型醫技設備:飛利浦3.0T核磁共振、螺旋CT、全自動數字化X懸吊攝影系統、移動式C型臂數字化X攝影系統、飛利浦彩色多普勒超聲診斷儀、安鈦電動手術床、德爾格麻醉機、邁瑞監護儀、腦氧監護儀、血濾機、自體血回輸系統、心肺復蘇機、呼吸機、低溫沖擊鎮痛儀器、心電信息網格管理系統、心電監護儀工作站、多功能輸注工作站。
健康城院區開設關節、脊柱、創傷、小兒、運動醫學、手外、骨腫瘤和康復醫學等重點學科。其中康復醫學科按病種劃分為關節術后康復、脊柱脊髓術后康復、創傷術后四肢功能障礙康復、小兒骨科康復和運動康復五大主要發展方向??祻椭委焾F隊對每位患者采取個體化、精細化管理,配備上肢綜合康復訓練系統,下肢智能反饋訓練系統,關節被動康復器等高端的康復儀器設備,打造真正意義的專業骨科康復。另設有共享病區,與總院臨床科室采取一體化、同質化管理原則,保證醫護技資源利用最大化。
為滿足新時代多樣化的健康需求,健康城院區各病區為患者提供免費“照護師”服務,大力打造“助陪醫院“。醫院將實行醫師、護師、照護師、康復師、營養師“五師”治療團隊管理模式,實行患者ERAS快速康復。
鄭州市骨科醫院健康城院區的啟用,將為鄭州市西部優質醫療資源進一步增容,將為廣大骨病患者提供更高效、優質的骨??圃\療服務。
